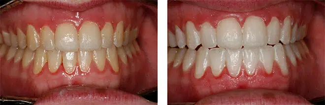
Pros And Cons of Store-Bought DIY Whitening Products
A walk through the oral hygiene aisle in the grocery store or even a quick Google search will give you access to everything from strips to trays and tubes of toothpaste that promise to give you whiter teeth in as little as two weeks. Below, we compare various DIY teeth whitening products and highlight each set of their pros and cons.
Whitening Toothpaste
Primarily an abrasive substance, whitening toothpaste makes for an affordable option for those wanting to get rid of teeth stains.Pros:
- The abrasive nature of whitening toothpaste can remove or prevent organic stains (e.g., stains from coffee, tea red wine, and berries) from forming on the teeth.
- Very easy to use
- Cheap and widely available in drug stores, groceries, and online businesses
Cons:
- Not effective on inorganic stains (stains that develop inside the tooth)
- The abrasive nature of whitening toothpaste can cause teeth sensitivity. This not only affects the teeth but can also result in gum recession.
- It needs to be used for a long time to see results.
- Due to its popularity, there is a wide array of products to choose from, some of which are not of good quality and don’t deliver results.
Whitening Strips
Typically made from flexible, transparent plastic sheets coated with a peroxide-based gel, a teeth whitening strip can easily mold itself to your teeth, providing a quick, hassle-free way to get a whitening treatment at home.Pros:
- Readily available in drug stores, groceries, and online businesses
- Easy to use
- Results can be seen in a few days or weeks, making it reliable for those looking for a cost-effective way to get quick results.
Cons:
- If not used properly, gum tissue can become exposed to the whitening solution, causing a chemical burn or soft tissue irritation.
- Since these whitening strips are popularly sold online, some products may not be authentic or might be part of a scam.
- Whitening strips do not have the ability to whiten the entire surface of the tooth. These are two-dimensional whitening strips applied to three-dimensional teeth, therefore, there are areas of the teeth that won’t come into full contact with the strip, creating an inconsistent appearance.
Whitening Trays
What used to be teeth molds which are custom-made by a dentist and worn at home have also become over-the-counter, one-size-fits-all trays for DIY whitening.Pros:
- Can be cost-effective
- Results can be seen in a short period of time.
Cons:
- Because the tray is not custom-made to the shape and structure of your teeth, results can be inconsistent.
- Because the tray isn’t designed specifically for your teeth, it can be too big or too small, causing discomfort.
- The wrong tray size can also lead to the unnecessary contact of bleaching chemicals to the gum line, causing irritation.
